Discharge advice following attendance with a Radial Head/Neck Fracture
Warning
Emergency Department
Borders General Hospital
Huntlyburn Terrace
Melrose
TD6 9BS
For a copy of this leaflet in:
- another language
- audiotape
- Braille
- BSL DVD
telephone us on
tel: 01896 826000
"Information given on this site is not meant to take the place of a talk with your doctor or health worker."
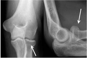
- You have a very small break in the head or neck of the radius bone at your elbow.
- These fractures almost always heal well with time - no specific treatment is required and therefore, routine Fracture Clinic follow-up is usually not necessary.
- A sling will hold your elbow in a comfortable position for a few days.
- Initially, you may require regular pain killers as it is important to keep gently moving the elbow and gradually resume daily activities and wean yourself off using the sling, within the limits of discomfort. This will prevent stiffness and ensure the quickest return to normal function.
- Forcible stretching is unnecessary, and is likely to cause pain and delay your recovery
- Symptoms are usually minor, but may take up to 3-6 weeks to settle.
- There may be slightly reduced movement at the elbow, especially on straightening it, but this is unlikely to affect your function.
- Start moving elbow by using your arm for daily activities when your pain allows. This may be 1 week after your injury.
- If your pain gets worse contact the hospital

Should you have any worries or concerns following discharge from hospital, please contact switchboard at Borders General Hospital:
- 01896 826000
- Ask the operator to bleep 6009
- This is the Orthopaedic Doctor on call who will attend to your call as soon as possible